Preloader

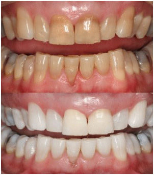
Lézeres fogfehérítés

Akár 4-5 árnyalattal világosabb fogak egyetlen kezeléssel!

A lézeres fogfehérítés egy korszerű, gyors és hatékony esztétikai fogászati eljárás, amely visszaadja fogai természetes világos árnyalatát. A kezelés során speciális fehérítő gélt viszünk fel a fogak felszínére, amelyet lézerfénnyel aktiválunk. A lézer energiája felgyorsítja a kémiai folyamatot, így a fogak elszíneződése rövid idő alatt látványosan csökkenthető. Az eljárás általában egyetlen alkalom alatt elvégezhető, és akár 4-5 árnyalattal világosabb eredményt is hozhat.

Kezelésünk általában 45–60 percet vesz igénybe. A lézeres aktiválás célzottan hat, így kíméli a fogzománcot.  Az eredmény azonnal látható!

A fogfehérítés javíthatja az önbizalmat és az összbenyomást, hiszen a világos mosoly fiatalosabb megjelenést kölcsönöz. Hatékony lehet kávé, tea, vörösbor vagy dohányzás okozta elszíneződések esetén. Olyanoknak ajánlott, akik egészséges fogakkal és ínnyel rendelkeznek, de zavarja őket fogaik sötétebb árnyalata. Ideális választás lehet különleges alkalmak – például esküvő, fotózás vagy állásinterjú – előtt.

Nem javasolt viszont terhesség alatt, súlyos fogínybetegség esetén, illetve kezeletlen szuvas fogaknál. Fontos tudni, hogy a meglévő tömések, koronák és héjak színe nem változik a kezelés hatására. A tartós eredmény érdekében ajánlott a megfelelő szájhigiénia és az erősen színező ételek, italok mérséklése. Rendszeres fogorvosi ellenőrzéssel a fehér mosoly hosszú ideig megőrizhető!

Foglaljon időpontot Kernerné Salamon Ritához!

Hét betöltése…